Segment like a pro with MedSeg.
Free online segmentation with AI-support.
Experience seamless, lightning-fast performance with our cloud-free solution! Simply open in Google Chrome on a GPU-powered computer for optimal results.
Experience the future of image segmentation with our user-friendly tool designed by radiologists, for radiologists. Experience effortless workflows and improved accuracy with our radiology and gaming-inspired controls.
Our vanilla JavaScript implementation ensures maximum speed and efficiency, while GPU hardware acceleration through Canvas and WebGL provides an extra boost.
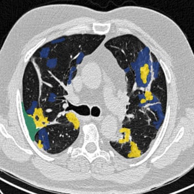
We provide segmentation services for CT or MRI datasets. Our radiologist-validated results use modern AI models to produce precise annotations in the form of masks, volumes, or 3D models/meshes in any file format. This service is available for a fee.
We are open to collaborating on research and are dedicated to advancing the field. To support this effort, we are creating open-access segmentations whenever possible.
Learn MoreYou can contribute by allowing us to train models on your data, which we'll share with the MedSeg community. You can also do segmentations to help us grow our open-access database. If interested, please get in touch.
Finding good quality data of sufficient abundance is a well known problem in AI. Here you'll find our top choices with detailed instructions and download walkthroughs
Read More




